
At Smile Point Dental, we bring you Invisalign, the cutting-edge solution for achieving a straighter smile without the hassle of metal braces. Our custom-made, Invisible Braces are designed to fit seamlessly into your lifestyle. Removable, nearly invisible, and tailored to your unique needs, Invisalign makes straightening your teeth more comfortable and convenient than ever. New patients are always welcome, and we look forward to helping you transform your smile with a modern approach that works for you
Medically reviewed by Dr. Dorar Abudaqa, DDS
Reviewed for clinical accuracy on May 17, 2026
A team of 4 dentists with 10+ years of experience serving Oakville families.
Rated by 200+ patients who shared their experience after visiting our clinic.
A growing community of Oakville families who chose us for their dental care.
Invisalign is a modern orthodontic treatment that uses clear, removable aligners to gently and effectively straighten your teeth. Unlike traditional braces, Invisalign aligners offer a discreet choice for improving your smile. Designed for comfort, they fit seamlessly into your lifestyle and are easy to remove for meals or daily oral care. Whether you want to correct crowding, close gaps, or address bite issues, This brand provides a customized solution that combines convenience with outstanding results. Invisalign is a registered trademark of Align Technology, Inc. Let Invisalign help you achieve the confident smile you deserve!




Dr. Vida Siar has helped many Oakville patients achieve straighter teeth through Invisalign without the look or feel of traditional metal braces. She uses advanced 3D scanning technology to map out your full treatment before the first aligner is even made, so you can see your expected results from day one. Whether you are a teenager just starting your smile journey or an adult looking for a discreet solution, Dr. Vida builds a plan around your goals and makes sure every visit moves you one step closer to the confident smile you deserve.
Invisalign treatment at Smile Point Dental ranges from $6,000 to $9,000 CAD, depending on the complexity of your case. Most dental insurance plans cover a portion of the cost, and flexible monthly financing is available for patients without coverage. Your exact investment is confirmed at your free consultation, which includes a 3D digital smile scan at no obligation.
For a full breakdown, visit our Invisalign Cost in Oakville page.
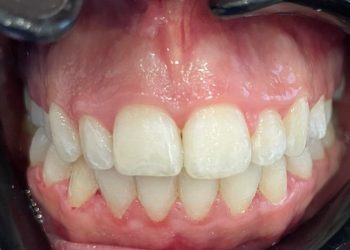
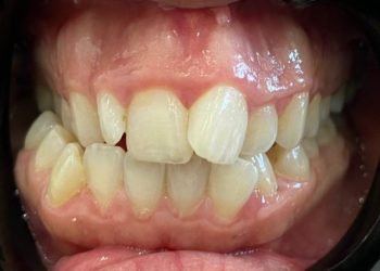
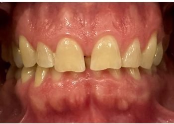
Learn how Invisalign treatment has changed lives with lasting results.
| Feature | Invisalign® | Traditional Braces |
|---|---|---|
| Appearance | Nearly invisible clear aligners | Visible metal brackets and wires |
| Removable | Yes, remove for eating and cleaning | No, fixed throughout treatment |
| Comfort | Smooth plastic, no sharp edges | Brackets and wires can irritate gums |
| Oral Hygiene | Brush and floss normally | Requires special tools around brackets |
| Diet Restrictions | None | Avoid hard, sticky, and chewy foods |
| Treatment Time | 6 to 18 months | 18 to 36 months |
| Check-up Frequency | Every 6 to 8 weeks | Every 4 to 6 weeks |
| Best For | Mild to moderate alignment issues | Complex orthodontic cases |
The Invisalign process is designed to be simple, comfortable, and effective. Here’s what you can expect every step of the way:
Your Invisalign journey starts with a dental consultation. Our dentist examines your teeth and uses advanced 3D scanning to create a custom treatment plan.
We design invisible aligners made to fit your teeth perfectly. Each set gently shifts your teeth toward their ideal position.
Every few weeks, you’ll visit us to track your progress, make adjustments if needed, and receive your next set of aligners.
Once your teeth are straight, we provide retainers to maintain your new smile and prevent any movement.
Invisalign offers a comfortable, discreet, and effective way to achieve a straighter smile without metal braces.
EXCELLENT Based on 274 reviews Posted on Google Mahtab TaheriTrustindex verifies that the original source of the review is Google. I have my teeth cleaned and having appointments for my cavities with dr Vida, she is the best and she has done a great job on my teethPosted on Google Sara NoahTrustindex verifies that the original source of the review is Google. I highly recommend Dr. Bassam. He js very professional and well experiencedPosted on Google Tareq DarwishTrustindex verifies that the original source of the review is Google. Got my wisdom tooth removed, no pain flawless experiencePosted on Google Marcos PenaTrustindex verifies that the original source of the review is Google. The best placePosted on Google Ibrahim Al-NazalTrustindex verifies that the original source of the review is Google. I had an amazing experience at this clinic! First, I want to thank Brejeda, the clinic manager. She is incredibly kind, welcoming, and very professional. From the moment you walk in, she makes you feel comfortable and truly cared for. She is always helpful and goes above and beyond to make everything smooth and stress-free. As for Dr. Vida Siar, honestly, I have never seen a dentist at her level not even close anywhere in Canada. I have visited more than 40 dental clinics, and I have never come across anyone with her level of skill and professionalism. Her work is unbelievably precise, and her professionalism is beyond exceptional. It’s almost impossible for her work to fail or need fixing again everything is done perfectly from the first time. That’s how high her standards are. Honestly, she is one of the most skilled dentists you could ever find. She gives you complete confidence and comfort throughout the entire process. Truly outstanding extremely, extremely skilled! Highly recommended! If you’re looking for the best dental care, this is the place to go.Posted on Google Baran UnalTrustindex verifies that the original source of the review is Google. It was great for everyone, especially Fatma, thank you so much!Posted on Google Caner ÜnalTrustindex verifies that the original source of the review is Google. Everyone was really friendly, and a special thank you to Fatma for being so helpful.Posted on Google Moe QasemzadaTrustindex verifies that the original source of the review is Google. Amazing clinic and been their patient for years. The front desk team is very friendly and helpful, dental assistants are kind and approachable, the hygienist is very gentle and Dr. Darar is skilled and patient. You can tell they are generally care about their patients. Highly recommend this place!Posted on Google Zahraa B.Trustindex verifies that the original source of the review is Google. I had a great experience the doctor was so kind if you have a cavity go to dr.vida siar at smile point in cannada,missassauga
At Smile Point Dental, we are dedicated to helping you achieve your dream smile with Invisalign. As a trusted invisalign dentist Oakville, we take pride in offering personalized care and advanced orthodontic solutions. Here’s why patients choose us for their orthodontic care:
Experience personalized, state-of-the-art Invisalign care at Smile Point Dental in Oakville. Let us help you achieve a straighter smile you’ll love to share!
Are you ready to achieve the confident, beautiful smile you’ve always dreamed of? At Smile Point Dental in Oakville Ontario, we specialize in Invisalign, the clear and comfortable way to straighten your teeth. New patients are always welcome, and we’ll work with you to create a personalized treatment plan tailored to your unique smile goals. Call us now at (647) 492-9329 or book your consultation online today. Let us guide you on your journey to a straighter, healthier smile with care designed just for you!
Invisalign treatment typically takes 6 to 18 months to complete, depending on the severity of the alignment issues. Regular checkups ensure your treatment stays on track and delivers the best results.
Invisalign is designed to be comfortable. While you may experience mild pressure when switching to a new aligner, this is temporary and less intrusive than traditional braces. Most patients adjust quickly.
Yes, Invisalign Teen is specifically designed for teenagers. It includes features like compliance indicators and additional aligners to accommodate growing teeth, making it an excellent option for teens who want a discreet treatment.
Invisalign aligners are removable, but they should be worn at least 20–22 hours per day for effective results. They can be taken out during meals or for brushing and flossing, adding convenience.
After completing Invisalign, you will receive retainers to maintain your newly aligned teeth. Wearing retainers as instructed is crucial to prevent your teeth from shifting back to their original position. New patients are always welcome at Smile Point Dental, and we’re here to guide you every step of the way, from your first consultation to keeping your smile straight for years to come.
© 2026. All Rights Reserved. | Privacy Policy | Terms & Conditions | Accessibility Statement