Dental veneers in Oakville provide a reliable solution for restoring the appearance of chipped, stained, or uneven teeth. At our Oakville dental clinic, patients benefit from over 30 years of expertise in cosmetic veneer treatments, including porcelain and composite options tailored to individual needs. Same-day appointments and free consultations make it easy to explore how veneers can improve your smile. With direct billing to your insurance company and a full range of veneer services, our team delivers convenient, patient-focused care trusted by Oakville families.
Achieved in 2–3 Appointments
Up to 15 Years with Proper Care
1–2 Hours
Minimal (Same Day)
Mild to Moderate
Call Us
Cosmetic dentists at Smile Point Dental specialize in dental veneers in Oakville and help you achieve a flawless smile in the shortest possible time. We correct various dental issues masterfully to give you the smile you have always desired. A free consultation is available for our Oakville dental veneer services.




Sarah had been hiding her smile for years. After getting her porcelain veneers, she says she finally feels confident, smiles in photos, and even feels more positive about her career.
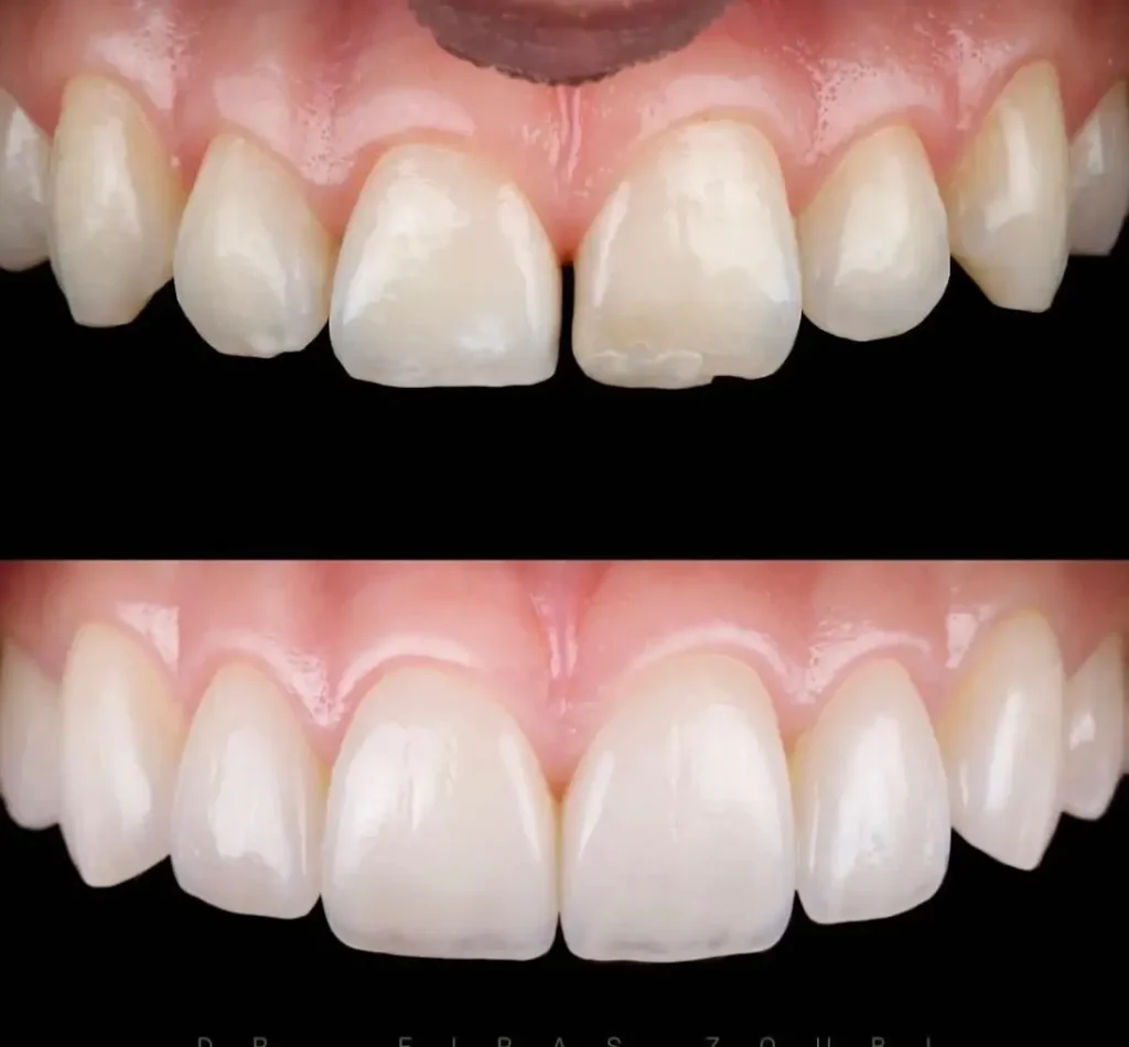
Smile Point Dental has earned a stellar reputation for providing world-class dental veneers at a fraction of the price. Our services of dental veneers in Oakville address a wide variety of dental defects, such as teeth discoloration and misalignment. Here we take pride in working with professional dental veneer experts with extensive experience in all aspects of veneer treatments and creating exquisite results beyond your expectations.
If you want bright and vibrant teeth, you can benefit from our top-quality dental veneers in Oakville. At Smile Point Dental, we try our best to drive high innovation in aesthetic dentistry and offer eye-catching dental veneers within Oakville and the neighborhood.
Our clinic is proud to become your chosen dental clinic and create the perfect smile you have always dreamt of.
If you live in Oakville and the surrounding area and want to have comprehensive information about dental veneers, our dentists in Smile Point Dental Clinic can help you and give you a free consultation.
Like any other dental procedure, the cost of dental veneers is determined by considering various factors. The severity of your dental flaws and the material your dentist utilizes are among the most influential factors in the cost of dental veneers. In general, composite veneers in Oakville cost between $CAD 320 and $CAD 420, while the cost of ceramic dental veneers ranges from $CAD 1100 to $CAD 1600. Anyone looking for the most affordable dental veneers in Oakville can refer to Smile Point Dental. We proudly transform the look of your smile and enhance your self-confidence. Your dream smile starts here at Smile Point Dental. Contact us at +1 647 492-9329.
One of the most widely favored and highly efficient procedures within the realm of cosmetic dentistry is the application of veneers. Veneers, including porcelain and composite options, are delicately crafted thin coverings that closely mimic a tooth’s natural surface.
Â
They are used to enhance the aesthetics of teeth, addressing concerns such as irregular shapes or alignment, discoloration, chips, and unevenness.
Â
At Smile Point Dental in Oakville, we offer a range of veneer options to suit your specific needs. Our expert specialists can provide personalized recommendations, including porcelain veneers, ideal for addressing dental issues without extensive tooth reduction. Using a minimally invasive technique, we prioritize conservative approaches to smile transformation, ensuring a natural and stunning result through Porcelain veneers in Oakville.
Consider composite veneers in Oakville for a cost-effective solution completed in a single appointment. These veneers are crafted using tooth-colored filling material and are easy to repair if damaged. With a 2 to 5 years of lifespan, they provide a budget-friendly option for enhancing your smile.
Another exceptional choice for a smile makeover is ceramic veneers. These veneers can simultaneously address chipped, cracked, discolored, uneven, worn-down, or misshapen teeth. Our dental veneer specialists at Smile Point Dental emphasize the remarkable benefits of ceramic veneers in achieving a radiant and flawless smile. If you're interested in veneers and are located in Oakville or the surrounding area, we invite you to contact Smile Point Dental at (647) 492-9329 for a complimentary teeth veneer consultation. Our team of dental specialists is highly dedicated to providing tailored assistance and guidance to help you achieve your desired smile. Discover the transformative power of Oakville veneers and take the fundamental step towards a confident and beautiful smile. Furthermore, our clinic has earned a prestigious reputation as a top-tier provider of a wide array of advantageous cosmetic dental treatments. In addition to dental veneers, we specialize in offering transformative services like teeth whitening, dental implants, and dental crowns. Give us a call to embark on your journey towards a radiant smile, and our team of experienced and dedicated cosmetic dentists in Oakville will be delighted to assist you.
EXCELLENT Based on 274 reviews Posted on Google Mahtab TaheriTrustindex verifies that the original source of the review is Google. I have my teeth cleaned and having appointments for my cavities with dr Vida, she is the best and she has done a great job on my teethPosted on Google Sara NoahTrustindex verifies that the original source of the review is Google. I highly recommend Dr. Bassam. He js very professional and well experiencedPosted on Google Tareq DarwishTrustindex verifies that the original source of the review is Google. Got my wisdom tooth removed, no pain flawless experiencePosted on Google Marcos PenaTrustindex verifies that the original source of the review is Google. The best placePosted on Google Ibrahim Al-NazalTrustindex verifies that the original source of the review is Google. I had an amazing experience at this clinic! First, I want to thank Brejeda, the clinic manager. She is incredibly kind, welcoming, and very professional. From the moment you walk in, she makes you feel comfortable and truly cared for. She is always helpful and goes above and beyond to make everything smooth and stress-free. As for Dr. Vida Siar, honestly, I have never seen a dentist at her level not even close anywhere in Canada. I have visited more than 40 dental clinics, and I have never come across anyone with her level of skill and professionalism. Her work is unbelievably precise, and her professionalism is beyond exceptional. It’s almost impossible for her work to fail or need fixing again everything is done perfectly from the first time. That’s how high her standards are. Honestly, she is one of the most skilled dentists you could ever find. She gives you complete confidence and comfort throughout the entire process. Truly outstanding extremely, extremely skilled! Highly recommended! If you’re looking for the best dental care, this is the place to go.Posted on Google Baran UnalTrustindex verifies that the original source of the review is Google. It was great for everyone, especially Fatma, thank you so much!Posted on Google Caner ÜnalTrustindex verifies that the original source of the review is Google. Everyone was really friendly, and a special thank you to Fatma for being so helpful.Posted on Google Moe QasemzadaTrustindex verifies that the original source of the review is Google. Amazing clinic and been their patient for years. The front desk team is very friendly and helpful, dental assistants are kind and approachable, the hygienist is very gentle and Dr. Darar is skilled and patient. You can tell they are generally care about their patients. Highly recommend this place!Posted on Google Zahraa B.Trustindex verifies that the original source of the review is Google. I had a great experience the doctor was so kind if you have a cavity go to dr.vida siar at smile point in cannada,missassauga
At Smile Point Dental in Oakville, Dr. Dorar Abudaqa is a skilled cosmetic dentist with over 20 years of experience in general and aesthetic dentistry. With a deep understanding of smile transformation and restorative techniques, he helps patients achieve their ideal smile through high quality dental veneers including porcelain, composite, and ceramic options. Dr. Abudaqa is known for his detail oriented and patient focused approach, tailoring each veneer treatment to address discoloration, chips, misalignment, and uneven teeth with natural-looking results. He is a proud member of the Royal College of Dental Surgeons of Ontario (RCDSO), the Canadian Dental Association (CDA), and the Ontario Dental Association (ODA).
Generally, those who decide to enhance their smile with top-notch dental veneers come to visit us with many questions in their mind. They want to ensure dental veneers are the best possible option to help them achieve what they absolutely deserve. That’s why we provide a list of the most common questions our patients ask before their veneer treatments in Oakville begin:
Nowadays, a dental veneer is a popular cosmetic dental treatment that is a thin shell covering the front surface of your tooth. Veneers are a great way to improve your smile, especially if your teeth are broken, misaligned, discolored, and cannot be whitened through professional teeth whitening treatments. The good thing about this cosmetic method is that it looks like real teeth and does not stain.
With Smile Point dental veneers in Oakville, you can achieve amazing results, creating changes in the smile that turn crooked, stained, and broken teeth into a perfectly white and balanced one.
Dental veneers can bring many worthy benefits and help you gain a dream smile even during a single dental visit. In the following parts, the most common advantages that convince many people to make dental veneer appointments at our Oakville clinic are listed below:
It is important to understand that modern coatings differ greatly from previous years. In the early days of dental veneers, careful teeth shaving was necessary to create enough space for veneers. Today, veneers can be as thin as contact lenses and require minimal dental preparation – or sometimes not at all. This means dental veneer often does not even require anesthesia but still gives you the beautiful results you desire. Our Oakville dental veneer specialist is ready to provide you with more information.
By observing your oral hygiene and being aware of the foods you eat, you can make your dental veneers last for years.
As our Oakville dental veneer specialist explains, the process of installing dental veneers to cover dental chips and cracks requires only one or two dental visits. Therefore, if you cannot wait long to achieve a gorgeous smile, dental veneers are the best way to resume your normal function and natural-looking smile almost immediately.Â
© 2026. All Rights Reserved. |  Privacy Policy  |  Terms & Conditions | Accessibility Statement