Dental implants are the gold standard for replacing missing teeth, offering permanent, natural-looking solutions that restore both function and appearance. At Smile Point Dental in Oakville, we specialize in affordable dental implant services designed to improve chewing ability, preserve jawbone health, and boost long-term oral wellness. Our experienced Oakville dental team uses advanced techniques and biocompatible materials to create implants that feel and perform like real teeth. Whether you need a single tooth implant or full arch restoration, we provide personalized solutions that fit your needs and budget.
Permanent Solution
Lifetime with Proper Care
1–2 Hours per Implant
1–2 Weeks
Mild to Moderate
Book an Appointment
Working Hours
1525 Cornwall Rd #13, Oakville, ON L6J 0B2, Canada
The cost of dental implants in Oakville typically ranges from $3,600 to $6,500 per tooth, depending on factors such as bone density, the need for bone grafting, and the type of restoration required. At Smile Point Dental, we provide a detailed cost breakdown during your free consultation so there are no surprises. We also offer flexible payment plans and direct insurance billing to make your treatment as affordable as possible. See our detailed guide on dental implant cost in Canada.
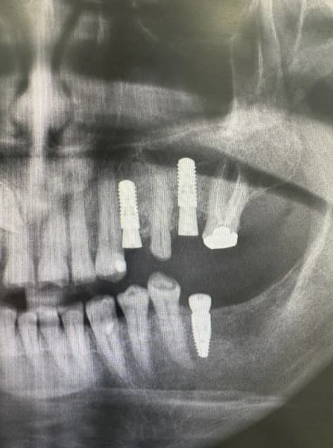
Dental implants are small titanium posts that are carefully placed into the jawbone to serve as replacements for the roots of missing teeth. These implants provide a secure and durable foundation for artificial teeth such as crowns, bridges, or dentures. At Smile Point Dental, we utilize advanced methods and personalized care to ensure your dental implants are functional, long-lasting, and look completely natural.
Dental implants are one of the most natural-looking and practical solutions for replacing missing teeth. They are a leading treatment in modern dentistry requiring highly skilled specialists’ expertise. At Smile Point Dental in Oakville, we proudly offer exceptional dental implant services tailored to your needs while keeping costs affordable.
Our experienced team is committed to providing seamless care, whether you need a single tooth replaced or multiple implants. We focus on delivering long-lasting results with minimal complications to ensure your smile is both functional and beautiful.
Understanding that costs may be a concern, we offer flexible payment options to make your treatment accessible. Contact us today at (647) 492-9329 for a free dental implant consultation and let us help you achieve the smile you deserve.
Dental implants offer several advantages over traditional options like dentures or bridges, combining functionality and aesthetics to restore your smile effectively:
At Smile Point Dental, we offer a wide range of implant solutions designed to meet your unique needs and restore your smile with confidence:
Replace one missing tooth with a natural-looking, long-lasting restoration.
Fill gaps from multiple missing teeth without affecting nearby teeth.
A cost-effective option for replacing an entire arch of teeth with fewer implants.
Completely transform your smile with comprehensive implant-based solutions.
Enhance jawbone structure to ensure successful implant placement.
Our dental implant procedure is straightforward and designed with your comfort in mind:
Throughout the process, our Oakville team ensures you feel informed, comfortable, and cared for.
Smile Point Dental is a trusted provider of dental implants in Oakville, offering:
Trust Smile Point Dental to provide the care and expertise you deserve.
Dr. Ardeshir Ranjbari brings a wealth of clinical knowledge and international training to every dental implant case at Smile Point Dental. Having practiced in both Tehran and Aachen, he developed a deep understanding of complex restorative procedures and the importance of precise surgical planning. Dr. Ardeshir takes the time to assess your bone density, overall oral health, and long term goals before recommending the most suitable implant solution for your situation. Patients trust him for his calm, methodical approach and his ability to make even the most involved procedures feel manageable and stress free.
EXCELLENT Based on 274 reviews Posted on Google Mahtab TaheriTrustindex verifies that the original source of the review is Google. I have my teeth cleaned and having appointments for my cavities with dr Vida, she is the best and she has done a great job on my teethPosted on Google Sara NoahTrustindex verifies that the original source of the review is Google. I highly recommend Dr. Bassam. He js very professional and well experiencedPosted on Google Tareq DarwishTrustindex verifies that the original source of the review is Google. Got my wisdom tooth removed, no pain flawless experiencePosted on Google Marcos PenaTrustindex verifies that the original source of the review is Google. The best placePosted on Google Ibrahim Al-NazalTrustindex verifies that the original source of the review is Google. I had an amazing experience at this clinic! First, I want to thank Brejeda, the clinic manager. She is incredibly kind, welcoming, and very professional. From the moment you walk in, she makes you feel comfortable and truly cared for. She is always helpful and goes above and beyond to make everything smooth and stress-free. As for Dr. Vida Siar, honestly, I have never seen a dentist at her level not even close anywhere in Canada. I have visited more than 40 dental clinics, and I have never come across anyone with her level of skill and professionalism. Her work is unbelievably precise, and her professionalism is beyond exceptional. It’s almost impossible for her work to fail or need fixing again everything is done perfectly from the first time. That’s how high her standards are. Honestly, she is one of the most skilled dentists you could ever find. She gives you complete confidence and comfort throughout the entire process. Truly outstanding extremely, extremely skilled! Highly recommended! If you’re looking for the best dental care, this is the place to go.Posted on Google Baran UnalTrustindex verifies that the original source of the review is Google. It was great for everyone, especially Fatma, thank you so much!Posted on Google Caner ÜnalTrustindex verifies that the original source of the review is Google. Everyone was really friendly, and a special thank you to Fatma for being so helpful.Posted on Google Moe QasemzadaTrustindex verifies that the original source of the review is Google. Amazing clinic and been their patient for years. The front desk team is very friendly and helpful, dental assistants are kind and approachable, the hygienist is very gentle and Dr. Darar is skilled and patient. You can tell they are generally care about their patients. Highly recommend this place!Posted on Google Zahraa B.Trustindex verifies that the original source of the review is Google. I had a great experience the doctor was so kind if you have a cavity go to dr.vida siar at smile point in cannada,missassauga
Book Your Dental Implant Consultation in Oakville Today! Don’t let missing teeth affect your quality of life. Schedule your dental implant consultation at Smile Point Dental in Oakville and take the first step toward a healthy, confident smile. Call us at (647) 492-9329 or book online today!
Most healthy adults with adequate jawbone density are good candidates for dental implants. A consultation, including an evaluation and imaging, will determine if implants are suitable for you.
Dental implants can last anywhere from 10 to 30 years with proper care. For many, they are a lifelong solution that outlasts other tooth replacement options.
The procedure is minimally invasive and performed with local anesthesia or sedation to ensure comfort. Most patients experience only mild discomfort during recovery.
Caring for implants involves brushing, flossing, and regular dental checkups. Keeping the implant area clean is essential for preventing complications and ensuring long-term success.
Yes, dental implants can replace single teeth, support bridges for multiple teeth, or even replace an entire arch using systems like All-On-4.
Though rare, risks include infection, nerve damage, or implant failure due to poor bone integration. Choosing an experienced dentist reduces these risks significantly.
© 2026. All Rights Reserved. | Privacy Policy | Terms & Conditions | Accessibility Statement