A sudden toothache that turns sharp and throbbing can be more than just discomfort; it may be a sign of a dental abscess, a severe infection caused when bacteria enter the tooth’s pulp or surrounding gum tissue. The buildup of pus leads to swelling, fever, and intense pain that can quickly become a dental emergency if left untreated. Knowing how to treat dental abscess speedily and safely can protect not only your smile but also your overall health.
In this article, we’ll explain what a dental abscess is, its warning signs, and the professional treatments available. We’ll also share what to do in an emergency, when to visit your dentist, and how to prevent future infections.

What Is a Dental Abscess?
A dental abscess occurs when bacteria cause an infection that leads to the buildup of pus either inside the tooth or in the surrounding gums. Left untreated, this infection can spread to other areas of the mouth, face, or even the bloodstream, becoming a serious health concern.
The condition often starts with tooth decay, gum disease, or trauma that allows bacteria to enter the soft tissue inside the tooth. Once trapped, the infection grows and pressure builds, resulting in severe pain. Understanding how to treat dental abscess involves identifying their type and cause early before complications arise.
Types of Abscess (Periapical vs Periodontal)
There are two main types of dental abscesses:
- Periapical abscess: This type develops at the tip of a tooth’s root when bacteria invade the pulp after decay or injury.
- Periodontal abscess: This form occurs in the gums adjacent to a tooth root, often due to gum disease or the accumulation of food particles that become trapped. Specialists in Periodontics typically manage this type, using deep cleaning or drainage to eliminate infection.
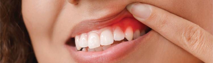
Recognizing the Signs and Symptoms
A tooth abscess rarely goes unnoticed. The pain may come on suddenly and worsen over time, especially when chewing or lying down.
Pain, Swelling, and Fever
The hallmark symptom of an abscess is a persistent, throbbing toothache. You may also experience swelling in your jaw or face, tenderness in the gums, or even a bad taste in your mouth caused by draining pus. In some cases, fever and swollen lymph nodes indicate that the infection is spreading.
If these symptoms sound familiar, it’s critical to understand how to treat dental abscess before it leads to complications. Simple home remedies can provide temporary relief from pain, but professional care is necessary to completely eliminate the infection.
Read more: “Emergency Cracked Tooth Repair”
How to Treat a Dental Abscess
Treating an abscessed tooth depends on the severity of the infection and the location of the pus pocket. While mild pain might be relieved with salt-water rinses or over-the-counter medication, these are only temporary measures. A qualified dentist must remove the source of infection to ensure lasting relief.
Professional Treatments (Root Canal Therapy, Extraction)
At Smile Point Dental, a professional dental clinic in Oakville, our team specializes in promptly and safely managing dental infections.
If the tooth can be saved, we often recommend emergency root canal therapy. This procedure removes the infected pulp, disinfects the inside of the tooth, and seals it to prevent reinfection. The treated tooth may later be restored with a dental crown for added strength and aesthetics.
However, if the infection is too extensive or the tooth is beyond repair, tooth extraction may be necessary. Removing the affected tooth allows the pus to drain, easing pressure and pain. Our goal is always to preserve your natural teeth whenever possible while prioritizing your comfort and safety.
For patients experiencing severe swelling or fever, we may prescribe antibiotics to prevent the spread of infection. Understanding how to treat dental abscess properly means combining professional intervention with careful follow-up care and oral hygiene practices.

Emergency Situations & When to Get Help
Sometimes, a dental abscess escalates quickly. If you experience facial swelling, difficulty swallowing, or fever, the infection may be spreading to surrounding tissues. This is a genuine dental emergency that requires immediate attention.
Our emergency team is trained to provide emergency dental repair and relief from pain associated with abscess-related complications. We understand how distressing these situations can be, which is why we offer fast and compassionate care to stabilize your condition.
By understanding the early treatment of dental abscesses and seeking professional help without delay, you can avoid serious issues such as bone infection or tooth loss. Remember, ignoring pain or attempting to drain an abscess at home can worsen the disease. Always consult a qualified dental professional instead.
Read more: “5 Mistakes to Avoid With Emergency Dental Care”
Make Time for Your Oral Health
At Smile Point Dental, we understand that dental pain can strike when life is already busy. That’s why we offer same-day dental care in Oakville, so you never have to wait long for relief. Call us today to restore your comfort and protect your smile.
Preventing Future Dental Abscesses
Once you’ve learned how to treat a dental abscess, the next goal is prevention. Practicing strong oral hygiene is the best defense against recurring infections. Brush twice a day, floss daily, and use an antibacterial mouthwash to remove plaque buildup.
Regular dental check-ups also play a critical role. During visits, your dentist can detect early signs of decay, gum disease, or minor infections before they develop into more severe conditions, such as painful abscesses. Preventive procedures such as fluoride treatment can strengthen your enamel and reduce bacterial growth.
If you wear dentures or have dental implants, clean them carefully to avoid bacterial buildup around the gum line. Addressing early discomfort promptly prevents minor issues from escalating into emergencies later on.
Read more: “How to Reduce Swelling from a Tooth Infection Quickly?”
When Home Remedies Can Help Temporarily
While professional care is essential, specific home measures can manage pain until you reach the dentist. Rinse the area with warm salt water to cleanse it and reduce inflammation. Apply a cold compress to your cheek to minimize swelling. Over-the-counter pain relievers can help ease discomfort, but they should not replace dental treatment.
Understanding the treatment of dental abscesses includes knowing that these home methods only provide temporary relief. They can’t eliminate the infection, so professional evaluation remains crucial.

The Role of Professional Dental Care
Modern dentistry provides safe and effective methods for treating abscesses and restoring oral health. Procedures like root canal therapy, tooth extraction, and gum treatments are routine and highly successful. Regular visits to your dentist enable early detection and prompt care, ensuring that minor infections never escalate.
We take pride in providing personalized treatments that prioritize your comfort and well-being. With modern dental technology and a careful, patient-focused approach, managing dental infections becomes more efficient and far less stressful. When you understand how to treat a dental abscess and know where to seek help, your recovery becomes faster and smoother.
Read more: “ When Do You Need a Dental Emergency?”
Protect Your Smile, Protect Your Health
A dental abscess may begin as a simple toothache but can quickly develop into a serious health concern. Knowing how to treat dental abscesses early and getting professional care from a trusted clinic can make all the difference.
By maintaining consistent oral hygiene, scheduling regular check-ups, and acting quickly at the first sign of infection, you safeguard both your smile and your overall well-being.
FAQ
1. Can a dental abscess go away on its own?
No. The infection requires professional treatment to drain pus and remove bacteria. Home care may ease pain, but only a dentist can cure it.
2. How do I know if my abscess is severe?
Swelling, fever, or spreading pain are red flags. Seek emergency dental care immediately if you experience these symptoms.
3. What is the primary treatment for a tooth abscess?
Root canal therapy is the most common treatment. If the tooth can’t be saved, extraction may be necessary.
Have you ever had a dental abscess? How did you handle it, and what worked best for you? Share your story in the comments. Your experience could help others learn how to treat dental abscess effectively and act before pain worsens.



